Cabinet des Docteurs Florence DEMEURE & Astrid EVRARD & Elodie HACQUIN & Sabine PAYE & Clémence DEHOUX & Vanina DENAYER
Orthodontistes exclusifs à NAMUR
Cabinet des Docteurs Florence DEMEURE & Astrid EVRARD & Elodie HACQUIN & Sabine PAYE & Clémence DEHOUX & Vanina DENAYER
Orthodontistes exclusifs à NAMUR

Vidéos 3D - Page 4

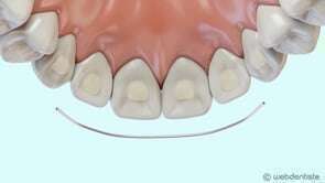
Fil de contention

Fil de contention

Traitement multi-attaches

Traitement multi-attaches

Affichage des articles 19-20 sur 20

Création par Webdentiste

Connexion